Below is a gallery of a few of our before and after photos. We have provided a short description of the situation prior to each pair of photos. If you are interested in a service that is not shown in our gallery, please contact us. We have many more photos and resources to help you better visualize the services you seek and would be pleased to sit down with you and discuss your specific case in detail.
Veneers
As you can see, this young lady was born with teeth that were too small and misshaped. When Dr. Scott first saw her, he recommended an orthodontist who was able to correct the spacing problems, and then Dr. Scott placed four veneers that were the proper size, shape and color. The really cool thing about the veneers is that she didn’t even need a shot to have the work done! Now she has a beautiful smile.
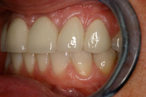
Implants
Implants should look great! Can you find the implant? An Implant allows a missing tooth or non-repairable tooth to be replaced by a permanent tooth that looks, feels and acts like your real tooth. Dr. Joe and Dr. Scott work closely with our specialists to assure our implants are flawless when finished. In this smile, Dr. Joe placed a crown over an implant to complete this awesome cosmetic makeover!
Uneven Smiles
Some smiles have the appearance of uneven teeth. This lady is a hygienist from another office that was referred by her dentist to enhance her smile. Her teeth were actually more even than they appear in her smile. Her lips and mouth caused her smile to appear uneven. Dr. Scott worked with her extensively to correct the uneven appearance when she smiles. We were able to give her a new, even smile that fit the way her mouth moves when she smiles. Wow! What a difference. She loves them!
Restorations
This patient had considerable damage to her front teeth. Some years ago at another office, she had four veneers in the front and two full crowns on the sides placed to repair this damage. However, she was unhappy the results. Dr. Scott placed new lifelike restorations to give this young lady a more beautiful and natural looking smile.
Custom Teeth
Often times our patients teeth have significant character in the form of slight stains, white spots etc… Also, patients are concerned with dark lines or metal showing near the gum on their new crowns. That will not happen here. We work closely with our premium labs to customize each tooth to match you perfectly. We can make your new tooth look like nothing ever happened.
Metal Free Alternatives
Ask our team about metal free alternatives that will enhance the natural beauty of your new smile. Dr. Joe worked extensively with the gums and replaced the aging crowns to create a whole new look. Wow!
Custom Dentures
A new custom denture will give you the confidence to smile again. Your new teeth will look like “YOUR TEETH” and not some generic denture that does not match who you are. Our custom process will allow you to decide the final outcome of how you want to look.
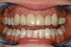
New Smiles
This lady had problems early on in life that required her to have very large fillings on most of her front teeth. The teeth were weak and unpredictable. This amazing result was accomplished by strengthening the upper 6 front teeth and placing beautiful all porcelain crowns. She whitened her remaining teeth. Wow! She loves her new smile.




















